Skip Menu
Continue
  • 9900 West Parmer Lane,
  • Suite #A-205,
  • Austin, TX 78717
¡se habla español!
  • Home
  • About Us
    • Our Office
    • New Patients
    • Smile Gallery
    • Dental Videos
    • Testimonials
  • Our Doctor
    • Jayashree Kyatam, DMD
  • Our Team
  • Services
      • Ceramic Crowns
      • Dental Bridges
      • Dental Cleanings
      • Dental Fillings
      • Dentures
      • Emergency Treatment
      • Extractions
      • Invisalign®
      • Night Guards
      • Oral Exams
      • Pediatric Dentistry
      • Periodontal Treatment
      • Preventive Program
      • Teeth Whitening
      • TMJ Disorders
      • Veneers
    • View All
  • Dental Health
  • Contact
    • Contact Us
    • Request Appointment

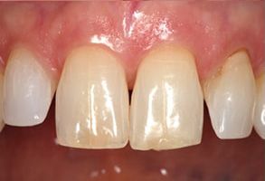
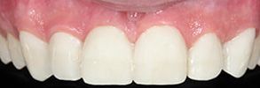
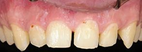
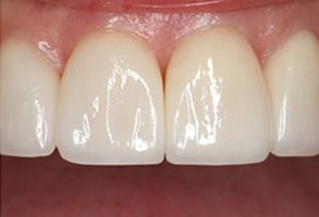
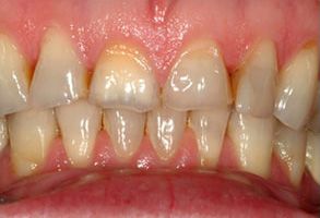
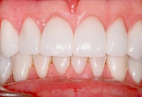
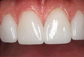
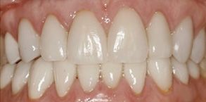
Smile Gallery

Additional Information

Our Location

9900 West Parmer Lane
Suite #A-205
Austin, TX 78717
(512) 388-1833

Follow Us

Text us Now
512.388.1833